Blog
Blog

Il trattamento della patologia sinusale mediante segnali elettromagnetici a bassa intensità e frequenza.
Il trattamento della patologia sinusale mediante segnali elettromagnetici a bassa

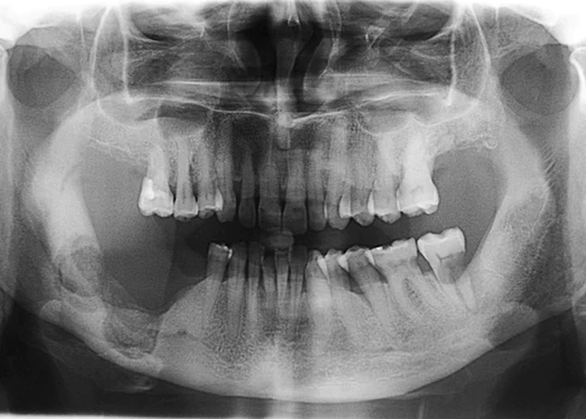
L’osteonecrosi delle ossa mascellari
In seguito a ripetute segnalazioni in letteratura, a partire dalla

Aderenze chirurgiche e dolore cronico: cause, sintomi e trattamenti
L’intervento chirurgico può essere la soluzione giusta per molti problemi

Cicatrici da cesareo e mal di schiena: come l’osteopatia e la tecnologia possono aiutare
Le cicatrici da cesareo sono una parte comune dell’esperienza di

Affrontare la Resistenza Antibiotica: Il Potenziale Rivoluzionario dei Campi Elettromagnetici nel Trattamento Batterico
Nel contesto della crescente resistenza batterica, la ricerca medica esplora

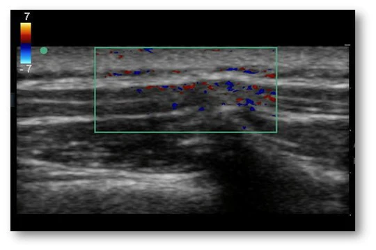
Campi Elettromagnetici Ultra Deboli nel Trattamento dell’Infiammazione Cronica: Un Nuovo Orizzonte Terapeutico
Negli ultimi anni, la ricerca medica ha delineato prospettive innovative